您现在的位置:
首页
/
/
13个临床案例丨间充质干细胞将成为未来医学应用的主流

13个临床案例丨间充质干细胞将成为未来医学应用的主流

13个临床案例丨间充质干细胞将成为未来医学应用的主流

详情

“今天,我们已在未来。”2017年6月6日,美国印第安纳州综合医院院长阿巴克先生(Dmitry M. Arbuck)在一篇题为《干细胞治疗——一场医学革命》的专栏文章中写道。


图片


我们正处于一个健康与医疗的革新时代。干细胞科技的发展,代表着与抗生素的发现,或是诸如核磁共振影像等现代医学影像设备的发明同等水平的创新。间充质干细胞已经改变了药物的根本形式,延长了人类的寿命,也挽救了无数因病痛而绝望的生命。


近年来,间充质干细胞的研究热度不断攀升,截至目前,Pubmed上检索到的与间充质干细胞相关的文献累计已超过47000篇。


美国NIH的ClinicalTrials是全球最大的临床研究数据库,根据该数据库的检索结果,在该数据库登记的关于间充质干细胞的临床研究达700余项。其中,在中国、欧洲和美国开展的临床研究数位居全球三甲。

 图片


间充质干细胞的临床研究涉及上百种疾病。将这些疾病按照器官系统分类,可以发现神经系统、心血管和骨科疾病是三类主要的研究领域,占比都在15%以上,总和超过一半。另外,糖尿病、肝脏、肺脏、胃肠道、皮肤和移植物抗宿主病(GVHD)的比例都在5%左右,是间充质干细胞重要的临床研究方向。


而根据美国国立卫生研究院(NIH)提供的临床研究数据信息(clinicaltrials.gov)显示,目前可搜索到超过370余项已经完成或正在进行的与脐带间充质干细胞相关的临床研究,其中在中国进行的有近百项,约占间充质干细胞临床研究的一半以上。


脐带间充质干细胞的临床研究与应用


脐带间充质干细胞是存在于新生儿脐带华通氏胶和血管周围组织中的一种间充质干细胞,与经典的骨髓间充质干细胞比较,脐带源间充质干细胞的绝大多数生物学特征与骨髓源间充质干细胞相似,但在增殖能力、CFU-F形成能力、CD106、HLA-I表达和神经诱导分化能力等方面要优于骨髓间充质干细胞。因此,作为一种新型种子细胞,极其适合用于临床研究和应用。


应后台读者的提议,今天小编整理了一些脐带间充质干细胞的临床研究和应用案例。 


  • 脐带间充质干细胞修复难愈伤口


图片


我国著名的创伤和组织修复与再生医学专家付小兵教授利用脐带间充质干细胞成功治愈了一位70岁老人右下肢静脉溃疡引起的慢性创面,治疗55天后,陈女士的伤口完全愈合,治疗效果明显。


推荐阅读:13项临床试验,582例患者,评估干细胞移植治疗糖尿病足的疗效及安全性!


  • 脐带间充质干细胞能改善脑瘫患儿流涎症


图片


北京武警总医院的研究人员在《武警医院》刊发的一篇研究文章称,脐带间充质干细胞移植可以显著改善脑瘫患儿流涎症,提高患儿生活质量。截止报道前,北京武警总医院神经干细胞移植科已经治疗小儿脑瘫患者超过4000例,临床应用超过10年,总有效率80%以上。此次该院的研究人员又观察到,脐带间充质干细胞对脑瘫患儿口诞症同样具有疗效。


  • 静脉输注脐带间充质干细胞治疗失眠


图片


在这项研究中,脐带间充质干细胞移植组患者经一次细胞移植治疗后,患者的睡眠质量、睡眠障碍和日间功能障碍的改善作用可持续12个月,并且无明显不良反应。治疗后1个月,脐带间充质干细胞的睡眠改善作用同口服药物相当;治疗2个月后,移植组的睡眠质量评分明显好于对照组;治疗3个月后,移植组的生活质量也明显优于对照组。


观察结果表明,脐带间充质干细胞静脉输注治疗慢性失眠1个月起效,且一次治疗作用可持续达1年之久,能显著改善患者的睡眠质量。


推荐阅读:静脉输注人脐带间充质干细胞治疗慢性失眠的临床观察


  • 脐带间充质干细胞有望降低先天性心脏病手术次数


图片


英国布里斯托大学的研究人员发现脐带间充质干细胞有望成为新一代的关键移植物,用于减少治疗先天性心脏病儿童的植入手术次数。他们利用分化能力强大的脐带间充质干细胞培养出了一种同人体组织无二的新一代移植物,用于替代需要反复进行植入手术的移植物进行修复性手术。这种移植物只需植入一次,就能完全融入心脏组织中,随其一起生长。


推荐阅读:上亿个干细胞输入心脏受损区域后,他的心脏病有了很大改善


  • 改善糖尿病下肢血管病变


白求恩国际和平医院、河北省人民医院与河北省第三人民医院在局部麻醉下沿30位糖尿病下肢血管病变患者的患肢血管走行方向,自上而下行多点局部肌注1ml脐带间充质干细胞,结果显示,治疗组临床显效率为54%,显著高于对照组的 34%,治疗后3个月治疗组各项临床观察指标及踝肱指数值好转更明显。


图片


推荐阅读:干细胞移植——治疗糖尿病缺血性下肢血管病变的新手段


  • 提高帕金森病患者的生活质量


  • 来自印尼的76岁老人谢喜云患帕金森病十几年,右手三个手指肌肉强直收缩,身体僵硬,吞咽困难,失去生活自理能力。在接受间充质干细胞移植后几个小时,就能顺利进食,当晚还能轻松地观看电视节目,身体其他症状明显好转。


  • 中国医科大学的孙丽博士将含有脐带间充质干细胞的悬液通过颈动脉植入10位帕金森病患者体内,患者移植后,行走姿势、震颤程度,自主运动及坐、起运动能力得到提高,不但有效控制帕金森病的发病进程,而且有效改善受损的脑组织功能,提高了患者生活质量。


推荐阅读:干细胞回输后仅1天,困扰了20年的帕金森症状就有了明显改善!


  • 改善脑瘫患者的运动功能


解放军463医院的吴景文、王金刚等专家使用脐带间充质干细胞对近200例脑瘫患者进行了治疗,结果显示都是有效。治疗4周后,患儿粗大运动功能均有不同程度的改善,其中仰卧位与俯卧位、坐位、爬与跪、行走与跑跳功能经统计学分析具有显著性意义。出院后6个月至1年,患儿粗大运动功能仍然有不同程度的改善,肌张力明显降低。


解放军323医院细胞治疗中心对20位小儿脑瘫患者,经腰椎穿刺在蛛网膜下腔注射脐带间充质干细胞,细胞输注4周后,所有患者静止性震颤,运动迟缓,肌强直,姿势步态障碍均有不同程度的缓解。


推荐阅读:干细胞治疗脑瘫,中国技术领先!


  • 肝移植术后输注脐带间充质干细胞改善患者免疫状态



图片


解放军八一医院肝脏移植中心完成了“人脐带间充质干细胞应用于肝移植患者的观察”研究,研究结果显示,肝移植手术后静脉输注脐带间充质干细胞安全可行,可有效改善肝移植患者的免疫状态。研究人员对每位患者开展了12个月以上的随访。


随访结果显示,脐带间充质干细胞对肝移植患者的免疫调节作用保持在可控的范围之内,不会增加感染等并发症,安全性较好。


推荐阅读:干细胞护肝,成为肝病治疗的新途径


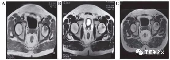
  • 应用脐带MSC治疗股骨头坏死


吉林省组织工程重点实验室刘颖教授、首都医科大学宣武医院谷涌泉主任等,对9位骨循环协会评级为II-IIIa级的股骨头坏死患者经大腿动脉输注脐带间充质干细胞后,患者的红细胞、血小板、血氧转运指数明显改善。MRI检测显示24个月后股骨头坏死区域体积显著减少。


图片

推荐阅读:临床进展|干细胞疗法针对65例股骨头坏死的案例报告


  • 移植脐带干细胞 红斑狼疮患者症状明显缓解


  • 2012年,江苏大学附属医院风湿免疫科为21位系统性红斑狼疮患者静脉回输脐带间充质干细胞,显著地降低了系统性红斑狼疮患者尿蛋白水平,降低了患者的疾病活动度,降低了系统性红斑狼疮疾病活动指数评分。


  • 2013年,长江大学附属第一医院和荆州市第一人民医院风湿免疫科为18位系统性红斑狼疮患者肘前部静脉输注脐带间充质干细胞。1个月后,大多数患者发热、疲倦、乏力等临床症状及体征较移植前得到明显改善。

推荐阅读:干细胞移植对60例难治性红斑狼疮的临床疗效分析


随着对脐带间充质干细胞研究与应用热度的持续升温,相信在不久的将来,它必然广泛应用于临床,为人类健康发挥更大的价值。


参考资料(部分略):


走近神奇的干细胞移植 龚业莉编著 西安交通大学出版社2014年5月第1版


间充质干细胞基础与临床 韩忠朝主编 科学出版社2012年3月1日出版


间充质干细胞在造血干细胞移植中的作用_蒋曲 张红宾 重庆医学,2006.24(2)


脐带间充质干细胞移植辅助治疗系统性红斑狼疮的疗效观察杨桂鲜 潘丽萍等 四川大学学报(医学版)2014.45(2)


间充质干细胞治疗骨性关节炎的研究现状及问题 文涛 郑诗豪 董纪元 解放军医学院学报 2017.6

内蒙古银丰蒙科生物科技有限公司

公众号

微信公众号

公众号

客服微信

声明:本网站部分图片素材来源网络如有侵权请联系删除